All of the following results are cemented permanent restorations. None of them are removable dentures/prosthetics.

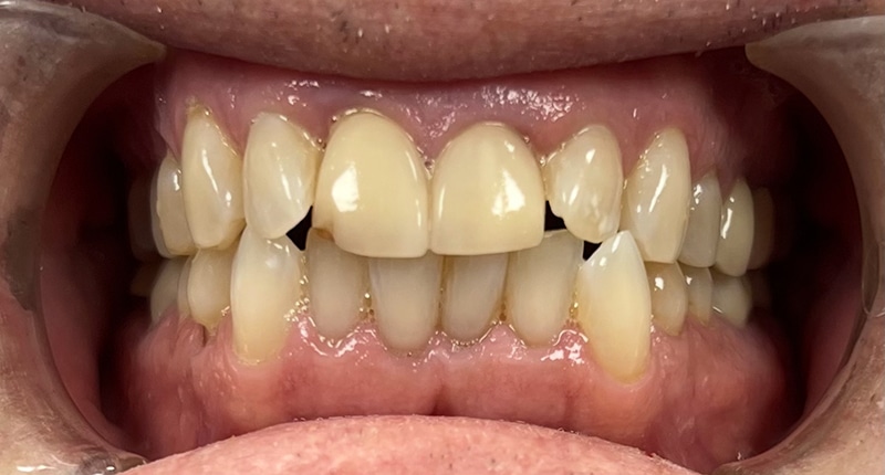
Close-up of discolored teeth showing gaps and wear; dental condition requiring professional treatment.
Close-up of bright white teeth showing perfect dental alignment and healthy gums in professional dental setting.
Close-up of dental work showing upper and lower teeth with crowns and restorations in mouth.
Close-up view of healthy white teeth showing proper dental alignment and oral health.
Close-up of a person's smile displaying white teeth and pink lips against skin tone background.
Close-up of a person's smile showing white, straight teeth and healthy gums in professional dental setting.
Close-up of dental veneers showing bright, uniform front teeth in a smile demonstration.
Close-up view of upper and lower dental veneers or crowns showing white teeth alignment and bite.
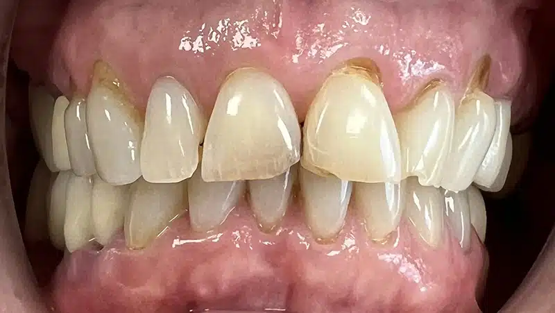
Close-up of deteriorated teeth showing decay and discoloration requiring dental care.
Close-up of a man's smile displaying white, straight teeth and healthy gums.
Close-up dental examination showing severe tooth discoloration, decay, and missing teeth in upper jaw.
Close-up of a person's smile showing white teeth and pink lips in a dental context.
Close-up dental examination showing upper and lower teeth with visible discoloration and wear, intraoral view.
Close-up of man's smile displaying white teeth and facial hair against neutral background.
Close-up of dental implants and natural teeth showing orthodontic treatment progress in mouth.
Close-up of open mouth displaying full dentures showing teeth alignment and fit.
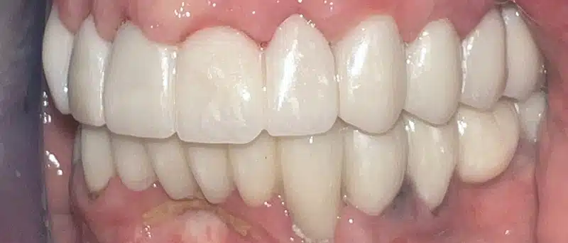
Before and after dental treatment showing tooth restoration and whitening results at Lombardi Dental.Before and after dental restoration showing improved tooth alignment and appearance at Lombardi Dental.
Before - After Image
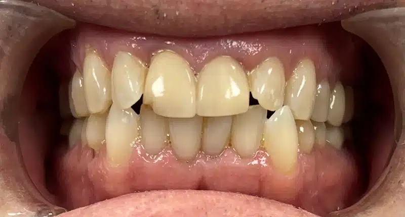
Before - After Image
Before - After Image
Before - After Image

One day transformation. 24 permanent crowns

Close-up of upper and lower teeth showing natural tooth color and gum health in dental setting.
Close-up of white, healthy teeth showing upper and lower dental alignment and gum health.